Follow us:

instagram instagram facebook facebook whatsapp whatsapp
down yellow plain arrow down black plain arrow
down yellow plain arrow down black plain arrow
01732 445 231 Contact Us

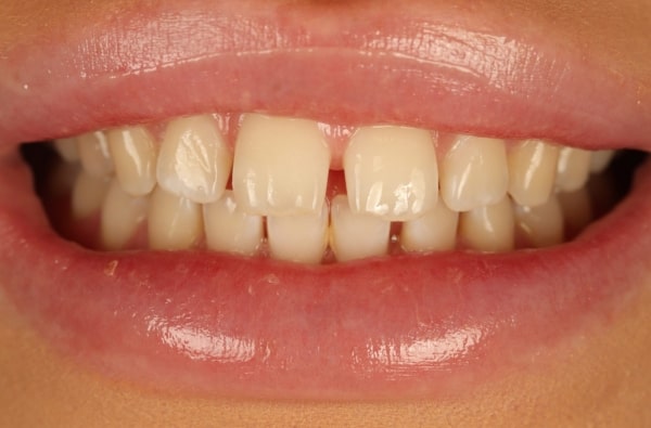
Case 19 - Invisalign®

Before - Halo Dental Before
After -Halo Dental After
Would you like to achieve a similar result for your smile?
Book Here OR Call 01732 445 231
Back To Smile Gallery

Get in touch

Testimonials

Trusted by our patients

Google Rating
5.0
Google Rating
Google-review